電話ボタン
電話アイコン 045-532-8013
ウェブアイコン 初診WEB予約

About Treatment

部分矯正とは

口 口

部分矯正とは、歯並び全体ではなく、見た目が気になる一部の歯や、治療に必要な部分だけを動かす矯正方法です。1本〜数本の歯を対象とするため、治療の範囲が限られているのが特徴です。

通常の全体矯正は、歯並びとともにかみ合わせ全体を整えることが目的ですが、部分矯正では基本的にかみ合わせに大きく影響しない範囲で見た目を整えることを目的としています。そのため、かみ合わせにズレが生じる恐れがあるケースでは、全体矯正を選択する必要があります。

また、ブリッジ・インプラント・根管治療後の被せ物などの処置をスムーズに進めるために、部分矯正を併用する場合もあります。

Treatable Cases

治療可能な歯並び

歯磨き 歯磨き
前歯(軽度な上顎前歯の叢生、すきっ歯、一部前歯の反対咬合など)

出っ歯や歯のすき間、前歯の傾きなど、前歯の歯並びが気になる方はとても多くいらっしゃいます。口元は会話や笑顔で目につきやすいため、前歯の並びが整っていないことで見た目のコンプレックスを抱えてしまうことも少なくありません。

こうした前歯の歯並びの乱れがかみ合わせに大きな問題を伴わない場合には、部分矯正で改善することが可能です。

目立つ部分だけを整えたい方や、短期間で治療を希望される方にとって、有効な選択肢のひとつです。

ただし、見た目だけを整えようとしてかみ合わせが乱れてしまうと、かえって噛みにくさや不具合の原因になることもあります。

Merit, Demerit

部分矯正のメリット・デメリット

部分矯正のメリット
  • 全体矯正に比べて費用を抑えられる
  • 治療期間が短く済みやすい
  • 装置の装着が少なく、目立ちにくい
  • 気になる部分だけの治療なので違和感が少ない
  • 比較的ストレスなく治療が進められる

部分矯正は治療範囲が限られているため、装置の数が少なく目立ちにくいのが特徴です。費用や期間も抑えられ、全体矯正よりも快適に治療を受けやすい点が大きなメリットです。

部分矯正のデメリット
  • かみ合わせ全体を整えることはできない
  • 適応できる症例が限られる場合がある
  • 機能面よりも見た目重視の治療になりやすい

歯並びの問題がかみ合わせやあごの骨格と関係している場合は、部分矯正だけでは対応が難しく、全体矯正が必要になることもあります。

見た目だけで判断せず、専門的な診断が大切です。

Appliance

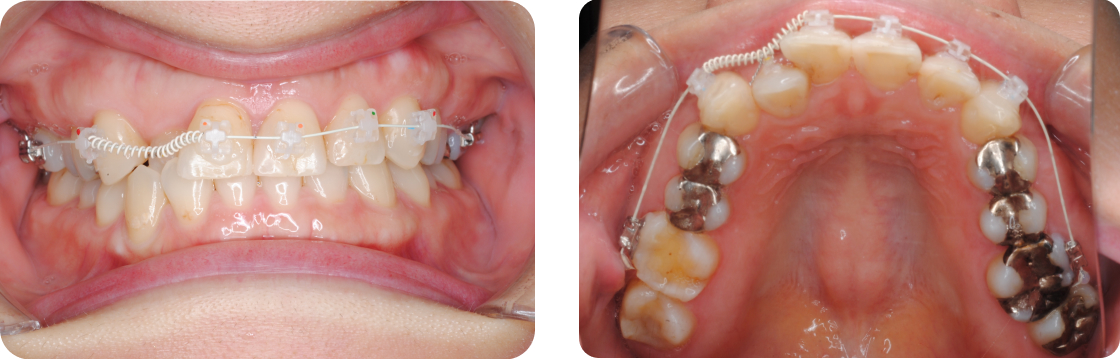
部分矯正で使用する装置の一例(ワイヤー矯正)

歯磨き 歯磨き

上記は前歯の部分矯正装置の画像です。

歯の表側に小さなブラケットを取り付け、そこにワイヤーを通して歯を動かす方法は、昔から多くの症例で使われてきたスタンダードな矯正治療です。

部分矯正では、通常6〜10個程度のブラケットを使用します。これは、全体矯正で使う24個前後のブラケットと比べて、非常にコンパクトな装置です。

見た目に関しては、ブラケット矯正はマウスピース矯正に比べてやや目立つため、見た目を重視する方にはマウスピースが選ばれることもあります。

しかし、ワイヤー矯正の大きなメリットは強い矯正力と細かなコントロール性です。特定の歯を正確に動かしたい場合や、しっかりとした効果を求める方には非常に効果的な方法です。