電話ボタン
電話アイコン 045-532-8013
ウェブアイコン 初診WEB予約

About Treatment

中高生の矯正治療

歯 歯

おとなの矯正とは、すべての歯が永久歯に生えそろったあとに行う矯正治療です。

出っ歯(上顎前突)や受け口(下顎前突)、乱ぐい歯(叢生)や八重歯、開咬、深いかみ合わせ(過蓋咬合)など、さまざまなお悩みに対応し、お一人おひとりに合わせた治療プランをご提案しています。

「矯正は子どもが受けるもの」と思われがちですが、大人の方やご年配の方でも治療は可能です。ただし、矯正治療を進めるためには、歯ぐきや歯そのものが健康な状態であることが大切です。

気になる症状がある場合は、早めにご相談いただくことをおすすめします。

当院では、患者さまの年齢やライフスタイルにも配慮しながら、無理のない治療方法をご案内しています。歯並びや咬み合わせでお悩みの方は、どうぞお気軽にご相談ください。

Present

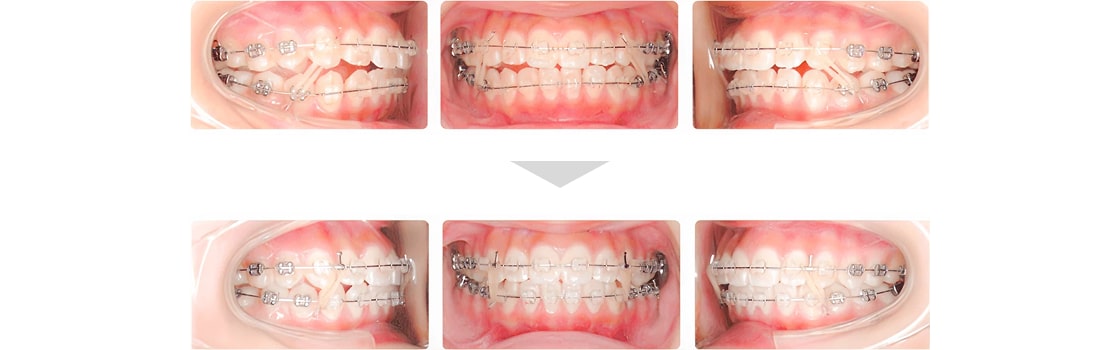
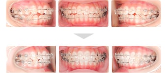
目立ちにくい矯正、半透明な樹脂ブラケット

メタルブラケット

以前は、表側矯正といえば「銀色の金属が目立つ装置」というイメージを持たれている方が多くいらっしゃいました。

確かに従来のワイヤー矯正では、金属製のブラケットが前歯に装着されるため、見た目が気になるというお声も少なくありませんでした。しかし現在では、見た目の印象を大きく変える審美性に配慮した装置も登場しています。

樹脂ブラケット

例えば、一般的な「メタルブラケット」は強度が高く、あらゆる症例に対応できる信頼性のある装置ですが、見た目が気になるという方には、半透明の樹脂で作られた「半透明な樹脂ブラケット」を選ぶことができます。この「半透明な樹脂ブラケット」は歯の色になじみやすく、装着していても目立ちにくいため、矯正中の見た目を気にされる方におすすめです。

機能性と審美性のバランスが取れているため、「ワイヤー矯正=目立つ」というイメージを持っていた方にも、安心してご選択いただけます。

患者さまのご希望やライフスタイルに合わせて、見た目の印象・費用・治療期間などを考慮しながら最適な装置をご提案いたしますので、ご不安な点はお気軽にご相談ください。

Others

さらに目立ちにくい矯正のご紹介

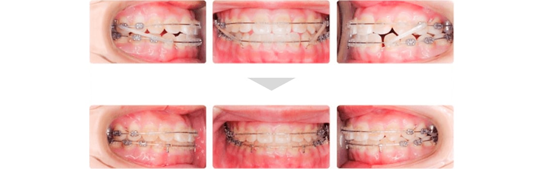
セラミックブラケットと歯の色に馴染むワイヤー
歯 歯

表側の矯正装置は、どうしても「目立つ」という印象をお持ちの方が多いかもしれません。しかし現在では、装着中でも気づかれにくい、見た目に配慮した装置を選ぶことが可能です。

当院では、白くて半透明のセラミックブラケットをオプションでお選びいただけます。

このブラケットは歯の色になじみやすく、さらにワイヤーも歯の色に近い素材でコーティングされたものを組み合わせることで、装着していても目立ちにくく、自然な見た目で治療を進めることができます。従来の金属製ブラケットと比べて審美性が高く、「矯正中であることをなるべく周囲に知られたくない」という方にも非常に人気のある装置です。

見た目の美しさと治療の効果を両立したい方に、ぴったりの矯正方法と言えるでしょう。

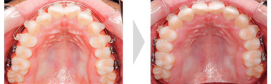
ローフリクションシステムで、より快適に・より目立たずに
歯 歯

さらに当院では、表側矯正で目立たず、かつ快適な治療を実現するために、「ローフリクションシステム」を採用しています。これは、ワイヤーの滑りをよくすることで摩擦を最小限に抑え、歯がよりスムーズに動くよう設計されたシステムです。

当院では、白くて半透明のセラミックブラケットをオプションでお選びいただけます。

このシステムを取り入れることで、歯の移動にかかる負担が軽減され、痛みの少ない矯正が可能になります。また、歯がゆっくり・なめらかに動くことで、装置へのストレスや不快感も少なく、日常生活への影響を抑えながら治療が進められます。

目立ちにくさと機能性を両立させた表側矯正で、患者さまが安心して笑顔になれるようサポートしています。

「目立つのがイヤで矯正をためらっていた」という方も、ぜひ一度ご相談ください。

見えない矯正装置 舌側矯正装置
歯

舌側矯正(裏側矯正)は、矯正装置を歯の裏側に装着することで、装置が外から見えないように治療を進める方法です。「装置の見た目が気になって矯正に踏み出せない」「仕事柄、人前で話すことが多い」など、目立たずに治療したい方に最適な治療法として選ばれています。

この治療法は、ただ装置を裏側につけるだけではなく、高度な専門技術を要する矯正法であり、患者さま一人ひとりに合わせたフルオーダーメイドの設計が必要になります。

表側矯正と比較して、目立たないだけでなく、歯列の内側から力をかける特性上、効率的な歯の移動が期待できるケースもあります。

歯

また、上下どちらも裏側に装置をつける「フルリンガル」に加えて、上顎は裏側・下顎は表側という「ハーフリンガル(コンビネーション)」の選択も可能です。普段よく見られる上の歯は目立ちにくい裏側に、あまり目立たない下の歯は費用を抑えられる表側に装着することで、審美性と費用のバランスを両立させることができます。

ただし、舌側矯正には適応条件があり、お口の状態や歯並びによっては裏側矯正が難しい場合もあります。

詳しくは精密検査やカウンセリングでしっかり診断したうえで、最適な治療方法をご提案させていただきます。

「目立たないけどしっかり治したい」そんな方にこそおすすめの矯正法です。気になる方は、ぜひお気軽にご相談ください。

About Treatment

その他矯正装置の紹介

ブラケットとワイヤー以外にも、治療を効率よく進める上で重要な役割を果たす矯正装置があります。

ここでは、実際によく使用されている装置をピックアップしてご紹介します。

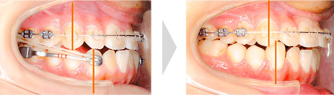
顎間エラスティック(ゴム)を併用し、より効率的に治療を進めます
治療 治療

上記は使用開始〜3ヶ月の治療例です。

上下のあごの位置関係や咬み合わせを整えるためには、ワイヤー矯正だけでなく、「顎間エラスティック(ゴム)」の使用が重要になります。このゴムを適切に、かつ積極的に使うことで、歯の移動がスムーズになり、治療期間の短縮にもつながります。

当院では、エラスティックの効果を最大限に引き出すために、使い方や装着のタイミングについても丁寧にご案内しています。

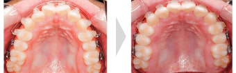
歯列弓拡大装置で、スムーズに歯の並ぶスペースを確保
治療 治療

上記は使用開始〜3ヶ月の治療例です。

歯列弓拡大装置は、歯並びの土台となるアーチ(歯列弓)を横に広げるための装置です。歯列の幅を広げることで、ガタガタに並んでいた歯がきれいに整うスペースをつくり、叢生(でこぼこした歯並び)を改善することができます。

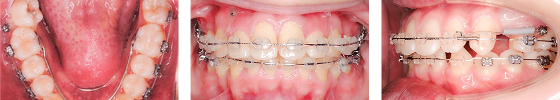
治療 治療

上記は使用開始〜3ヶ月の別治療例です。

従来、この拡大には時間がかかることが一般的でしたが、当院では「ゴムメタル」と呼ばれる特殊な素材を応用した拡大装置を使用しています。

この素材はしなやかさと弾力性に優れており、よりスピーディーかつ効率的に歯列の拡大を行うことが可能になりました。治療の精度とスピードの両立を目指し、患者さまにとって負担の少ない矯正を心がけています。

側方歯を効率よく後方に動かす装置「カリエールモーション3D®など」
治療 治療

上記は上顎側方歯の後方移動開始時〜3ヶ月の治療例です。

カリエールモーション3D®は、複数の側方の歯(小臼歯・大臼歯など)を同時に後方へ移動させるための装置です。従来に比べて効率的に歯を動かすことができ、比較的短い治療期間でスペースの確保や咬み合わせの調整が行えるのが大きな特長です。

治療 治療

上記は顎側方歯の後方移動開始時〜3ヶ月の別治療例です。

歯列全体のバランスを整えるための第一ステップとして、当院でも多くの症例で活用しています。

下顎を前方に誘導する装置(Twinforce®・パワースコープなど)
治療 治療

上記は使用開始〜使用終了までの治療例です。

下あごの前方への成長が十分に見込めない場合や、骨格的に下あごが後方に位置している症例に対して使用するのが、これらの下顎前方誘導装置です。

治療 治療

上記は使用開始〜使用終了までの別治療例です。

装置の働きによって、下あごの成長を促したり、適切な位置へと誘導したりすることで、上下のあごのバランスや噛み合わせの改善を目指します。

矯正用アンカースクリュー
治療 治療

左から歯の後方移動で使用したときの治療例、前歯の圧下に使用した治療例、倒れた奥歯を起こすときに使用した治療例です。

矯正用アンカースクリュー(矯正用インプラントアンカー)は、骨に小さなスクリューを一時的に埋め込み、歯をしっかりと引っ張るための固定源として使う装置です。このスクリューを併用することで、これまでの矯正治療だけでは難しかった歯の移動が、より効率よく・確実に行えるようになりました。

治療の幅が広がり、より多くの症例に対応できるようになったのも大きな特長です。

矯正治療に革新をもたらす新素材「ゴムメタル」の応用
治療

「ゴムメタル」という素材をご存じでしょうか?ゴムメタルは、トヨタグループの企業によって開発された新しいチタン合金で、金属でありながら“ゴムのようにしなやか”という、これまでにない特性を持っています。

この素材は、しなやかで柔軟性がありながらも非常に高い強度を誇り、生体親和性にも優れているため、矯正治療への応用に非常に適しています。

治療 治療

上記はゴムメタルワイヤーによる治療開始時〜4ヶ月の治療例です。

従来の矯正用ワイヤーには、主にチタンニッケル合金(形状記憶合金)やステンレススチール、コバルトクロム合金などが使われてきました。しかし、それぞれに長所・短所があり、たとえばチタンニッケルは弾力性がある一方で屈曲しにくく、ステンレス系は加工しやすい反面、柔軟性に乏しいという課題がありました。

それに対してゴムメタルは、しなやかさと強度を両立した理想的な特性を持ち、矯正治療の精度と効率を高める革新的な素材として注目されています。この特殊な金属特性を活かすことで、従来のワイヤーでは難しかった歯の動きが可能になり、歯の移動に伴う痛みの軽減にもつながっています。

当院ではこのゴムメタルを、主に拡大装置などの技工物に応用しており、特に歯列の側方拡大において短期間で高い治療効果を得られるなど、多くの症例で優れた成果を挙げています。